This website is for UK & Ireland healthcare professionals only

Interstitial Lung Disease Academy

Academy on demand

SARD-ILD - challenging cases
ILD Academy Live event 2024

SARD-ILD - challenging cases

Dr. Kate Myall and Dr. Patrick Gordon, King's College Hospital

Antibodies in SARD-ILD
ILD Academy Live event 2024

Antibodies in SARD-ILD

Dr. Aamir Aslam, Leeds Teaching Hospitals NHS Trust

Acute exacerbations of interstitial lung disease
ILD Academy Live event 2024

Acute exacerbations of interstitial lung disease

Dr. Harvinder Virk, University of Leicester

Cough in interstitial lung disease
ILD Academy Live event 2024

Cough in interstitial lung disease

Prof. Jacky Smith, University of Manchester and Manchester University NHS Foundation Trust

Management of breathlessness in ILD
ILD Academy Live event 2024

Management of breathlessness in ILD

Dr. Sabrina Bajwah, King's College London 

Rare interstitial lung disease
ILD Academy Live event 2024

Rare interstitial lung disease

Prof. Cormac McCarthy, St Vincent's University Hospital, Dublin

Genetic testing in ILD: of course we should!
ILD Academy Live event 2024

Genetic testing in ILD: of course we should!

Dr. Jenny Dickens, Royal Papworth and Addenbrooke's Hospitals

Genetic testing in ILD: no, not yet
ILD Academy Live event 2024

Genetic testing in ILD: no, not yet

Prof. Simon Hart, Castle Hill Hospital, Hull 

ANCHOR-RA: risk factor-guided RA-ILD screening
British Society of Rheumatology 2024

ANCHOR-RA: risk factor-guided RA-ILD screening

Prof. Paul Emery, Leeds NIHR Biomedical Research Centre, Leeds Teaching Hospitals NHS Trust & Leeds Institute of Rheumatic and Musculoskeletal Medicine

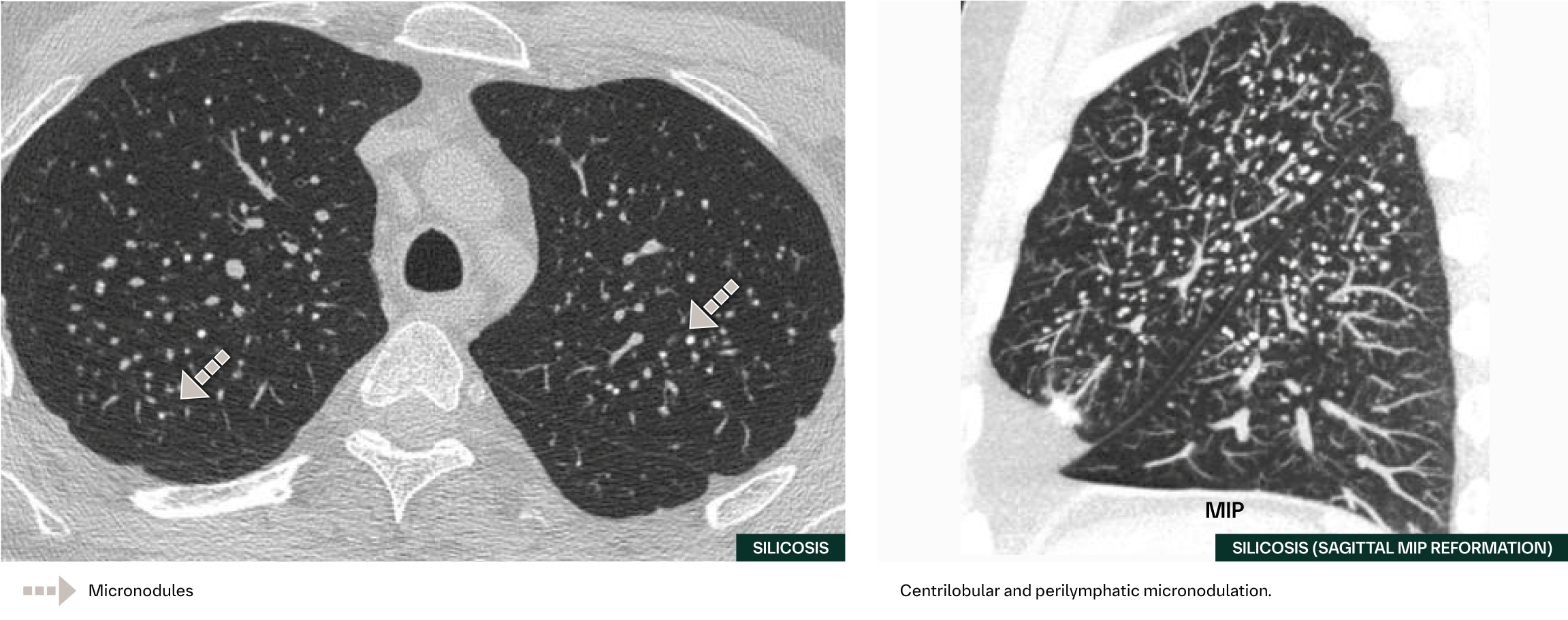
Imaging Atlas of Interstitial Lung Diseases

Related content

Download now Opens in new tab
Embracing digital care to improve local access to ILD specialists and how do we talk about dying?
ILD Academy Spotlight Podcasts - series 1
Embracing digital care to improve local access to ILD specialists and how do we talk about dying?
Marium Naqvi, Specialist ILD pharmacist Guys and St Thomas' Hospital & Prof. Robin Taylor, Royal Infirmary and St John's Hospital Edinburgh
Download now Opens in new tab
ILD management in the 21st century and Let's talk mental health - psychological support for ILD patients.
ILD Academy Spotlight Podcasts - series 2
ILD management in the 21st century and Let's talk mental health - psychological support for ILD patients.
Prof. Michale Gibbons, Royal Devon and Exeter Hospital and Dr. Anne-Marie Doyle, Royal Brompton Hospital

Our mission in ILD

Support
Support

We support the clinical and research community through grants, education, and collaborations with our MSL team.

Educate
Educate

We provide top-notch education on interstitial lung disease to healthcare professionals and patients, offering current research and resources.

Innovate
Innovate

Committed to change, we develop innovative ideas that meet the evolving needs of healthcare.

STAY UPDATED

Stay up to date with our ILD Academy educational events

SC-GB-02091 V4 | November 2025

Medical information
Medical information

Phone UK: 01344 742579 & Ireland: 01 295 9620

Email: Medinfo.bra@boehringer-ingelheim.com

Business hours: 9am-5pm Mon-Thurs, 9am-4pm Fri

Patient safety and pharmacovigilance
Patient safety and pharmacovigilance

Phone UK: 0800 328 1627 & Ireland: 01 291 3960

Email: Pv_local_uk_ireland@boehringer-ingelheim.com